আলঝেইমারের উপসর্গের ১০ বছর আগে রোগটি সনাক্ত করা যায়, জানাচ্ছে গবেষণা
ODD বাংলা ডেস্ক: সারা বিশ্বে সাড়ে পাঁচ কোটির বেশি মানুষ আলঝেইমার রোগে আক্রান্ত। কিন্তু উদ্বেগের বিষয় যে বর্তমানে এই রোগের কোনও চিকিৎসা নেই, যা নিশ্চিতভাবে নিরাময় দাবি করতে পারে। যদিও সাম্প্রতিক সময়ে আলঝেইমারের প্রতিষেধক খোঁজার প্রচেষ্টায় কিছুটা অগ্রগতি হয়েছে। আলঝেইমারের মতো বিপজ্জনক রোগের বিরুদ্ধে দুটি ওষুধের বিকাশে সহায়তা করা হয়েছে। এই ওষুধগুলি রোগকে মূল থেকে নির্মূল করতে পারে না, তবে তারা অবশ্যই রোগের অগ্রগতির সময় বাড়িয়ে তুলতে পারে।
বেশিরভাগ ক্লিনিকাল ট্রায়ালে এই ওষুধগুলির কার্যকারিতা বিবেচনা করে, লক্ষণগুলি শুরু হওয়ার পরেই চিকিত্সা শুরু হয়। মানে এই রোগে শরীরের যে ক্ষতি হয়েছে তা আগেই হয়ে গিয়েছে। তবে এটা বিশ্বাস করা হয় যে এই রোগে আক্রান্ত রোগীদের আগে থেকে অর্থাৎ লক্ষণ প্রকাশের আগেই চিকিৎসা শুরু করা হলে এর ফলে সৃষ্ট শারীরিক অস্বস্তি ও দুর্ভোগ রোধ করা যায়। তবে এখানে একটি সমস্যাও রয়েছে যে ক্লিনিকাল লক্ষণগুলি, যা ডাক্তাররা অ্যালঝাইমার রোগীদের চিকিত্সা করার জন্য দেখেন, শুধুমাত্র নিউরোডিজেনারেশন হওয়ার পরেই দেখা যায়।
রোগ ধরা পড়বে ১০ বছর আগে-
সংবাদ সংস্থা পিটিআই-এর প্রতিবেদনে বলা হয়েছে, ক্যারোলিনস্কা ইনস্টিটিউটের সাম্প্রতিক গবেষণায় আলঝেইমার রোগ নির্ণয়ের জন্য বর্তমানে ব্যবহৃত বায়োমার্কারের চেয়ে আলাদা বায়োমার্কার ব্যবহারের কথা বলা হয়েছে। গবেষণায় দেখা গিয়েছে যে একটি বায়োমার্কার, যা একজন ব্যক্তির রক্তে পাওয়া যায়, উপসর্গ শুরু হওয়ার ১০ বছর আগে পর্যন্ত আলঝেইমার সনাক্ত করতে পারে। এটি শরীরে এই রোগের অনুপ্রবেশ বন্ধ করার একটি সুযোগ প্রদান করে এমনকি এর উপসর্গ দেখা দেওয়ার আগেও।
ক্যারোলিন গ্রাফ এবং শার্লট জোহানসনের নেতৃত্বে এই গবেষণায়, জেনেটিক মিউটেশনের কারণে আল্জ্হেইমার রোগের একটি ফর্ম সহ সুইডিশ পরিবারগুলির ডেটা ব্যবহার করা হয়েছিল। যদি একজন পিতামাতার ADAD থাকে, তবে তাদের সন্তানদের মিউটেশনে পাস করার ৫০ শতাংশ সম্ভাবনা থাকে।
GFAP কি?
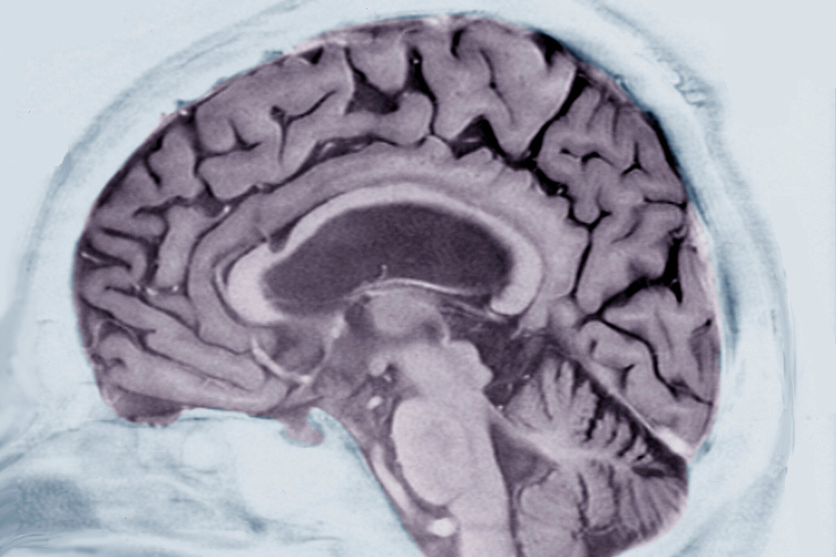
সমীক্ষা অনুসারে, রোগের লক্ষণগুলি দেখতে এমআরআই ইমেজিং এবং জ্ঞানীয় পরীক্ষার মতো অন্যান্য পরীক্ষাগুলিও করা হয়েছিল। এই গবেষণায় আবিষ্কারের মূল বিষয় ছিল যে গবেষণায় অন্যান্য পরিচিত রোগ-সম্পর্কিত রক্ত-ভিত্তিক বায়োমার্কারগুলির বিশ্লেষণের আগে GFAP নামক একটি নির্দিষ্ট প্রোটিনের মাত্রা বৃদ্ধি পেয়েছে। এই বৃদ্ধি আলঝেইমার রোগের লক্ষণ শুরু হওয়ার ১০ বছর আগে শুরু হয়েছিল। ব্যাখ্যা করুন যে GFAP হল একটি প্রোটিন যা মস্তিষ্কের অ্যাস্ট্রোসাইট দ্বারা নির্গত হয়। এগুলি বিশেষ কোষ, যা অন্যান্য ফাংশনের সঙ্গে মস্তিষ্কের ইমিউন সিস্টেমে অংশ নেয়। গবেষণা আরও দেখায় যে জিএফএপি মাত্রা এমন লোকেদের মধ্যে উচ্চতর যাদের কোনও জেনেটিক কারণ ছাড়াই প্রাক-ক্লিনিক্যাল অ্যালঝাইমার রোগ রয়েছে।





Post a Comment